Logo Gobierno de España Logo Ministerio de ciencia, innovación y universidades

Protegemos tu salud a través de la Ciencia

La exposición a arsénico está relacionada con un mayor riesgo de cáncer de próstata avanzado

A paragraph is a self-contained unit of a discourse in writing dealing with a particular point or idea. Paragraphs are usually an expected part of formal writing, used to organize longer prose.

18/02/2026

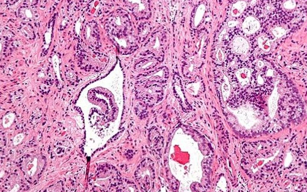
Histología de células tumorales en cáncer de próstata. Histología de células tumorales en cáncer de próstata.

+
Los resultados de una investigación liderada por un equipo del Instituto de Salud Carlos III (ISCIII) muestran un incremento del riesgo de desarrollar cáncer de próstata, especialmente en sus formas más avanzadas y agresivas, en varones expuestos a arsénico.

El hallazgo se basa en el análisis de este semi-metal acumulado en las uñas de los pies, y se enmarca en el proyecto MCC-Spain, uno de los mayores estudios epidemiológicos sobre cáncer realizados en España. El artículo que revela las conclusiones del estudio se ha publicado en la revista Environmental Research.

El arsénico es un metaloide tóxico presente de forma natural en el medio ambiente, que también puede encontrarse en el agua potable, determinados alimentos y algunas actividades industriales. Dependiendo de los niveles de exposición, puede afectar a la salud de las personas, aumentando el riesgo de desarrollar algunos tipos de cáncer. Aunque su relación con distintos tumores está bien documentada, su papel en el cáncer de próstata ha sido hasta ahora objeto de debate científico.
 



 
El estudio ha analizado datos de más de 800 hombres, incluidos 345 pacientes con cáncer de próstata recientemente diagnosticado y 468 personas sanas como grupo de control. Los resultados muestran que los hombres con mayores concentraciones de arsénico en las uñas de los pies presentan casi el doble de riesgo de desarrollar cáncer de próstata, en comparación con aquellos con niveles más bajos.  

Según se ha observado, este incremento del riesgo es especialmente acusado en los tumores de mayor agresividad, con mayor extensión local o en estados clínicos muy avanzados. Las autoras del trabajo explican que estos hallazgos refuerzan la hipótesis de que la exposición crónica al arsénico no sólo puede influir en la aparición del cáncer de próstata, sino también en su progresión hacia formas más graves de la enfermedad. Por otro lado, no se ha encontrado evidencia de que la predisposición genética al cáncer de próstata modifique la asociación entre la exposición al arsénico y el riesgo de enfermedad.

El estudio está liderado desde el Centro Nacional de Epidemiología (CNE) del ISCIII, y cuenta con la investigadora Esther García-Esquinas como autora principal. Se ha llevado a cabo en colaboración con un grupo del Centro Nacional de Sanidad Ambiental (CNSA) y parte del equipo también forma parte del Consorcio Centro de Investigación Biomédica en Red (CIBER-ISCIII).
 

Pablo Fernández-Navarro, Esther García-Esquinas, Elena Varea Jiménez, Roberto Pastor-Barriuso, autores del estudio, en una de las entradas al Centro Nacional de Epidemiología (CNE) del ISCIII.



Implicaciones para la salud pública

Estos hallazgos tienen importantes implicaciones para la salud pública, ya que refuerzan la necesidad de mantener y fortalecer la vigilancia y el control del arsénico en el agua potable, los alimentos y el entorno ambiental, con el fin de reducir la exposición crónica de la población. Si el arsénico no sólo aumenta el riesgo de desarrollar cáncer de próstata, sino también de presentar formas más agresivas, la reducción de la exposición podría contribuir tanto a disminuir la incidencia como la gravedad de la enfermedad. 

Además, las autoras recuerdan que, al actuar como factor de riesgo independiente de la predisposición genética, estos resultados subrayan la importancia de las estrategias de prevención primaria basadas en la protección ambiental y la equidad en salud.
 

•    Referencia del artículo: Varea-Jiménez E, Pastor-Barriuso R, Sierra Á, et al. Association between arsenic levels in toenails and urine and prostate cancer risk: Findings from the MCC-Spain study. Environmental Research, 2026; 293:123767. DOI: 10.1016/j.envres.2026.123767.
 

Otras noticias